
VDX NTA Ni ultra——High-Affinity IMAC Purification Resin
VDX NTA Ni ultra is an immobilized metal ion affinity chromatography resin that exploits the interaction between Ni2+ and side-chains of certain amino acids(mainly histidine, cysteine, tryptophan) on proteins. This chromatography resin significantly enhances the binding efficiency of Ni2+ and his-tagged proteins through special surface modification, making it particularly suitable for the isolation and purification of his- tagged proteins that cannot be bound by conventional Ni chromatography resin.
What's the difference between VDX NTA Ni ultra and traditional Ni-IMAC resin?
Engineered for superior his-tagged protein recovery, VDX NTA Ni Ultra leverages immobilized nickel ions to selectively bind proteins via interactions with histidine, cysteine, and tryptophan residues. Featuring advanced surface engineering, this media significantly enhances the structural flexibility of Ni2+-histidine coordination, delivering unprecedented binding capacity and high target protein recovery. Specifically engineered to overcome limitations of traditional Ni-IMAC media, VDX NTA Ni ultra is ideal for purifying His - tagged proteins that show weak or no binding to conventional Ni -based affinity resin, which often leads to significant flow - through.



Stronger Binding Ability: Effectively binds His-tagged proteins that traditional nickel - based media fail to capture.
Higher Binding Capacity: Significantly outperforms traditional nickel – based resin in binding capacity under the same conditions.
Superior Purification Effect: Enhanced target protein purity and yield while minimizing impurities.
| VDX NTA Ni ultra Performance Parameters | |
Matrix | High rigidity agarose |
Particle size range | 45-165µm |
Particle size, d50v | 70±10µm |
Dynamic binding capacity* | ≥40mg His-tagged protein/mL resin |
Ionic capacity | ≥10μmol (Ni2+)/mL resin |
pH stability | 3-12(long term) /2-14(short term) |
Operating pressure | ≤0.3MPa |
Recommended flow velocity | 100-150cm/h |
Chemical stability | Stable to commonly used aqueous buffers; Avoid chelating agents (e.g. EDTA, EGTA) and reducing agents (e.g. DTT and DTE) |
Storage conditions | 20% ethanol or 2% benzyl alcohol |
Storage temperature | 4-30°C |
*DBC: 10% breakthrough capacity determined using 2.5mg/mL of His-tagged protein (36) in 20mM PB,150mM NaCl, pH7.4 with 2 min residence time. Dynamic binding capacity is protein-dependent.

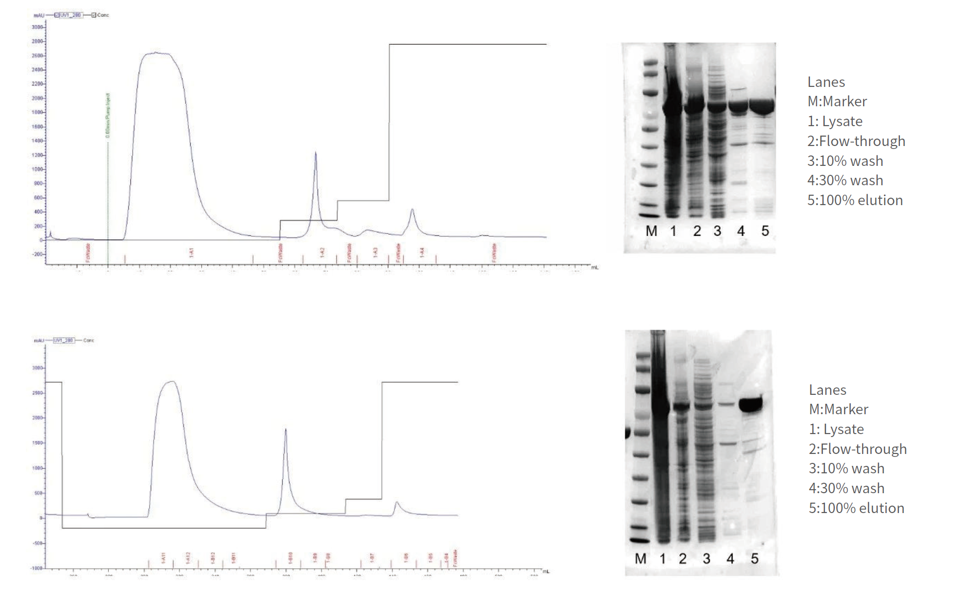
Purification of a Tagged Protein Using Traditional Ni-NTA and VDX NTA Ni ultra

Columns: VDX NTA Ni ultra and conventional Ni-NTA; 5 mL columns, 10 cm height
Sample: E.coli lysate
Equilibrium Buffer: 50 mM PB, 300 mM NaCl, pH 8.0.
Elution Buffer: 50 mM PB, 300 mM NaCl, 500 mM imidazole, pH 8.0
Result: Under the same loading conditions, the traditional Ni-NTA medium showed significant loss of the target protein during binding and washing steps, resulting in a much lower protein recovery. In contrast, VDX NTA Ni ultra demonstrated a stronger binding capacity for the target protein, with a significantly higher recovery rate than the traditional Ni-NTA medium.

| VDX NTA Ni ultra Order Information | |||
Product Name | Specification | Product Number | Application Characteristics |
VDX NTA Ni ultra | 25 mL | HQ320862025M | High-efficiency capture of weakly binding or nonbinding tagged proteins |
100 mL | HQ320862100M | ||
500 mL | HQ320862500M | ||
1 L | HQ320862001L | ||
5 L | HQ320862005L | ||
20 L | HQ320862020L | ||
| Pre-assembled Column Ordering Information | ||
| Product Name | Specification | Item Number |
| VDX NTA Ni ultra | 1mL | HQ320862001E |
| VDX NTA Ni ultra | 5mL | HQ320862005E |
If you have questions related to product information, or would like to request samples, quotations or demo, please submit your inquiry.